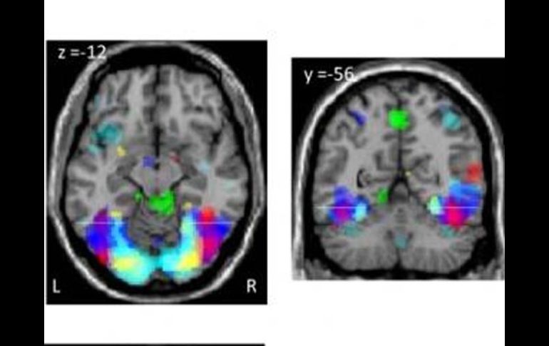
Tecnología | Unos experimentos muestran la modulación de la actividad mental Aprender a leer y escribir deja huella en el cerebro Unos experimentos muestran la modulación de la actividad mental en personas analfabetas y alfabetizadas Por: EL INFORMADOR 14 de noviembre de 2010 - 19:36 hs Las zonas del cerebro especializadas en el vocabulario y en el reconocimiento visual, funcionan también en la alfabetizació. ELPAIS.COM / PARIS, FRANCIA (14/NOV/2010).-La alfabetización, la capacidad de leer y escribir, es algo muy reciente en la historia del ser humano, por lo que el cerebro debió recurrir a lo que ya tenía para hacer frente a esta nueva e importante actividad mental y no habría desarrollado mecanismos nuevos, genéticos o de desarrollo, algo que exige bastante tiempo evolutivo, creen los científicos. Unos investigadores han hecho ahora unos experimentos curiosos para medir su huella en el cerebro, analizando con técnicas de resonancia funcional el cerebro de 63 voluntarios brasileños y portugueses: 11 analfabetos, 22 alfabetizados ya de adultos y 31 que aprendieron a leer y escribir de niños. Han identificado así las regiones cerebrales moduladas en la alfabetización, que están en zonas ya conocidas por su especialización en el vocabulario y en el reconocimiento visual de caras. Además la alfabetización mejora las funciones del habla. Todavía no saben si estos cambios en la anatomía cerebral, esta especialización dedicada a leer y escribir, merman o no la capacidad, por ejemplo, de reconocer rostros. Stanislas Dehaene (Universidad Paris-Sur) y sus colegas destacan en el informe de su investigación en la revista Science que no sólo se aprecian diferencias en el cerebro entre las personas analfabetas y alfabetizadas, sino que son notables también las diferencias en aquellos que aprendieron de adultos, lo que indica que la educación a edades tardías "puede refinar profundamente la organización de la corteza". El experimento es interesante, además, porque parte de los sometidos a resonancia funcional son analfabetos, mientras que la inmensa mayoría de los sujetos sanos de ensayos de este tipo son voluntarios de entornos académicos. Durante las pruebas, los científicos presentaron a las 63 personas diferentes tareas de reconocimiento de rostros, problemas de cálculo y respuesta a frases oídas y leídas. La alfabetización, ya sea adquirida en la infancia o en la edad adulta, refuerza la respuesta cerebral de varias maneras, explican Dehaene y sus colegas. Por un lado relanza la organización de la corteza visual, pero también permite que, en respuesta a frases escritas, se active toda la red del lenguaje hablado en el hemisferio izquierdo. "La capacidad de leer, una invención cultural tardía, se aproxima a la eficiencia de la vía de comunicación más evolucionada de la especie humana, que es el habla", explican en Science. Temas Ciencia Cerebro Lee También Julieta Fierro será homenajeada en la FIL Nobel de Química premia el desarrollo de estructuras metal-orgánicas Nobel de Física para Clarke, Devoret y Martinis por descubrimiento sobre fenómenos cuánticos Nobel de Medicina premia investigación sobre el control del sistema inmunitario Recibe las últimas noticias en tu e-mail Todo lo que necesitas saber para comenzar tu día Registrarse implica aceptar los Términos y Condiciones