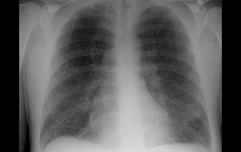
Tecnología | En el país se han registrado ocho mil 255 nuevos casos de esta enfermedad Factores ajenos al tabaquismo relacionados al cáncer de pulmón La exposición a algunas sustancias químicas o una alimentación inadecuada, también pueden causar el cáncer Por: EL INFORMADOR 7 de enero de 2011 - 17:15 hs Lo más recomendable es que el médico de primer contacto aconseje al paciente acudir con un neumólogo. ID / CIUDAD DE MÉXICO (07/ENE/2011).- En México se han registrado ocho mil 255 nuevos casos de cáncer de pulmón, de los cuales la mayoría tienen en común al tabaquismo como elemento clave de incidencia. Sin embargo, un importante porcentaje de personas afectadas por esta enfermedad aseguran no haber probado cigarrillo alguno en su vida, lo que apunta a otros factores en la predisposición a desarrollar este padecimiento, entre los que figura la exposición a algunas sustancias químicas o una alimentación inadecuada. Este tipo de información, así como ayuda al paciente, es la que pretende brindar la asociación civil de reciente creación Respirando con Valor, que busca difundir al público y afectados datos sobre tratamientos, estadísticas y opciones referentes al cáncer pulmonar. Al ahondar en los factores que conllevan al desarrollo de la enfermedad, la licenciada Patricia Mondragón, vocal esa asociación civil, explicó que existen factores tales como la genética, la inhalación del humo de leña o la exposición continua al arsénico, cromo, níquel o asbesto, además de tener deficiencia de vitamina A, C o E, los que pueden influir en la aparición del cáncer pulmonar; y estos factores representan el 48 por ciento de las causas del padecimiento en no fumadores. Además indicó que existen dos tipos principales de cáncer pulmonar, el de células pequeñas y no pequeñas. Algunos síntomas que pueden presentar las personas con cáncer de pulmón son: tos que empeora con el tiempo, dolor en el pecho, hemoptisis (flemas con sangre), disnea (silbido en el tórax), ronquera, pérdida de peso, fatiga e hinchazón de cuello y de cara. Es necesario que quien presente alguna de estas señales acuda al médico para tener un diagnóstico temprano, “el problema es que por lo general el cáncer de pulmón no se detecta en sus primeras fases, ya que suele confundirse fácilmente con males menores” indicó Patricia Mondragón. “Lo más recomendable es que el médico de primer contacto aconseje al paciente acudir con un neumólogo (especialista en los pulmones) cuando los síntomas persistan por más de tres meses”, advirtió. El primer estudio a realizar cuando existe sospecha de esta enfermedad es una radiografía, pero en algunos casos será necesario realizar una tomografía por emisión de positrones, que consiste en inyectarle a la persona un medio de contraste que ayudará a visualizar el crecimiento anormal de las células y su extensión. Además de los métodos tradicionales de radioterapia (empleo de rayos X), quimioterapia (administración de sustancias químicas) y cirugía, en la actualidad existe otro tratamiento de nueva generación llamado “terapia blanco” que ayuda y mejora la calidad de vida del paciente, evitando los efectos secundarios (pérdida de cabello, nausea, vómito, diarrea o estreñimiento, anemia, por mencionar algunos) de las terapias normales, ya que sólo incide en las células cancerígenas y evita dañar el sistema inmune. Para finalizar, la vocera de Respirando con Valor apuntó que es importante que las personas expuestas a los factores de riesgo se realicen un chequeo anual, de esta manera podrá ser detectado en sus primeras etapas y tendrá más opciones de tratamiento además de una mejor calidad de vida. Con información de la Agencia ID. Temas Ciencia médica cáncer de pulmón Enfermedades Lee También Julieta Fierro será homenajeada en la FIL INAPAM: ¿Cómo solicitar un turno para consulta médica gratuita? Octubre Rosa: ¿Cuánto cuesta una mastografía en Jalisco según Profeco? Nobel de Química premia el desarrollo de estructuras metal-orgánicas Recibe las últimas noticias en tu e-mail Todo lo que necesitas saber para comenzar tu día Registrarse implica aceptar los Términos y Condiciones