Sábado, 01 de Noviembre 2025
Tecnología | En 2015 entre 2.5 y tres millones de personas en México tendrán algún tipo de demencia

Llaman a fomentar donación de cerebros para investigar Alzheimer

En 2015 entre 2.5 y tres millones de personas en México tendrán algún tipo de demencia

Por: NTX

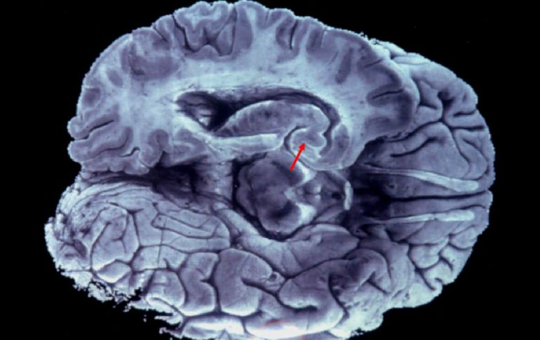
La fotografía muestra las lesiones histopatológicas características de la enfermedad de Alzheimer en el cerebro. EFE  ARCHIVO  /

La fotografía muestra las lesiones histopatológicas características de la enfermedad de Alzheimer en el cerebro. EFE ARCHIVO /

CIUDAD DE MÉXICO (19/SEP/2014).- Especialistas en Alzheimer llamaron a legisladores, autoridades de salud y a la sociedad en general a agilizar el proceso de donación de cerebros para avanzar en los estudios de esa enfermedad.

Para 2050 se prevé que habrá entre 2.5 y tres millones de mexicanos con demencia de algún tipo, por lo cual es necesario reformar la Ley General de Salud.

Los expertos señalaron que en ocasiones aun cuando exista voluntad de los familiares para donar el cerebro del paciente fallecido, los hospitales se niegan a practicar ese proceso por no haber claridad en el tema.

El coordinador del Banco Nacional de Cerebros del Centro de Investigación y Estudios Avanzados del IPN, José Luna Muñoz, reveló que en 20 años se han captado 200 cerebros, de los cuales sólo 17 han tenido alzheimer.

En conferencia de prensa expuso que para investigar más sobre esta enfermedad se requiere de tejido cerebral y para qué sea óptimo, no deben pasar más de 24 horas de que el donante haya fallecido.

"Cada hospital tiene normas y reglas, y estamos tratando de que sea más aceptada esta forma de donación. Por eso tratamos de que se haga un cambio a la Ley General de Salud para que se acepte la donación de tejido, ya hay una parte que habla de tejidos, pero es muy escueta.

"Es una labor de los legisladores, de las autoridades de salud, de los investigadores, de todos porque hemos perdido 20 años en capturar los 17 cerebros con alzheimer", destacó.

La jefa del Departamento de Demencia, del Instituto Nacional de Neurología y Neurocirugía 'Manuel Velasco', Ana Luisa Sosa, dio a conocer a su vez que esta enfermedad afecta a unas 350 mil personas en México, principalmente a mayores de 65 años.

Sin embargo para las siguientes décadas, debido al envejecimiento de la población, se calcula que entre 2.5 y tres millones de personas tendrán algún tipo de demencia.

Explicó que el Alzheimer, cuyo Día Mundial se celebra el 21 de septiembre, se caracteriza por la pérdida progresiva de la memoria y el deterioro de las capacidades cognoscitivas, es decir, que la gente olvida conceptos y la función de las cosas.

Temas

Recibe las últimas noticias en tu e-mail

Todo lo que necesitas saber para comenzar tu día

Registrarse implica aceptar los Términos y Condiciones