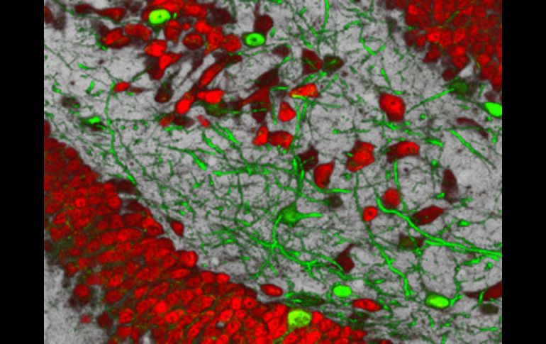
Tecnología | El estudio abre nuevas perspectivas para prevenir y tratar la enfermedad de Alzheimer Logran revertir la pérdida de memoria en ratones con Alzheimer Según el científico, este estudio abre nuevas perspectivas para prevenir y tratar la enfermedad de Alzheimer Por: EFE 23 de abril de 2014 - 17:22 hs Se inyectó en el hipocampo un gen que provoca la producción de una proteína que está bloqueada en los pacientes denominada Crtc1. ESPECIAL / BARCELONA, ESPAÑA (23/ABR/2014).- Investigadores españoles dijeron hoy haber logrado, por primera vez, revertir la pérdida de memoria en ratones con Alzheimer mediante terapia génica y tras identificar la proteína que, si se bloquea, impide la consolidación de la memoria. Se trata de una investigación de la Universidad Autónoma de Barcelona ( UAB), en el noreste de España, que permitió descubrir un mecanismo celular implicado en la consolidación de la memoria. Tras este hallazgo, los científicos lograron desarrollar una terapia génica para revertir la pérdida de memoria en estados iniciales del Alzheimer en ratones. A estos se les inyectó en el hipocampo, una región del cerebro importante para el procesamiento de la memoria, un gen que provoca la producción de una proteína que está bloqueada en los pacientes con la enfermedad, la denominada "Crtc1" (CREB regulated transcripción coactivator -1). La proteína restituida por la terapia génica permite desencadenar las señales necesarias para activar los genes implicados en la consolidación de la memoria a largo plazo. La investigación, que es hoy portada de la revista científica " The Journal of Neuroscience", es un paso en la búsqueda de los mecanismos celulares que causan alteraciones en la transmisión nerviosa y la pérdida de memoria en las etapas iniciales del Alzheimer, enfermedad que es la primera causa de demencia. Comparan genes en ratones sanos y transgénicos Para identificar la proteína que estaba bloqueada, los investigadores compararon la expresión de genes en el hipocampo en ratones sanos y en ratones transgénicos a los que se les desarrolló la enfermedad. Los investigadores observaron que el conjunto de genes implicados en la consolidación de la memoria coincidía con los genes que regula la Crtc1, una proteína que controla también genes implicados en el metabolismo de la glucosa y el cáncer. Así, los científicos concluyeron que la alteración de este grupo de genes podría causar la pérdida de memoria en los estadios iniciales de la enfermedad de Alzheimer. En las personas con la enfermedad, la formación de agregados de placas amiloides, un conocido proceso que desencadena el Alzheimer, impide que la proteína Crtc1 actúe de manera normal. "Cuando la proteína Crtc1 se altera no se pueden activar los genes responsables de la sinapsis o conexiones entre neuronas del hipocampo y el individuo no puede realizar correctamente tareas de memoria", explicó el doctor Carlos Saura, responsable de la investigación. Según el científico, "este estudio abre nuevas perspectivas para prevenir y tratar la enfermedad de Alzheimer, ya que hemos demostrado que una terapia génica que activa la proteína Crtc1 es efectiva para prevenir la pérdida de memoria en ratones de laboratorio". Temas Investigación científica Ciencia médica Enfermedades Alzheimer Lee También Detalles sobre la esquizofrenia, la experiencia de "voces" internas Conmociones cerebrales, la cuarta lesión más frecuente en partidos de la Conmebol Estas son las vacunas recomendadas en época de frío ¿Qué favorece la aparición de infecciones respiratorias? Recibe las últimas noticias en tu e-mail Todo lo que necesitas saber para comenzar tu día Registrarse implica aceptar los Términos y Condiciones