Suplementos
Descubren disminución del cerebro a causa de enfermedades
Se pierden entre 0.1 y 0.3 de volumen cerebral por año a partir de los 20 años de edad
CIUDAD DE MÉXICO (12/ABR/2014).- Una persona pierden entre 0.1 y 0.3 de volumen
cerebral por año a partir de los 20 años de edad, pero en los pacientes con padecimientos neurológicos se ha demostrado que este porcentaje es mayor y variable.
"Una de las enfermedades que cursan con mayor cantidad de atrofia es el Alzheimer, el cual puede presentar una pérdida del 6 al 20 por ciento de su tamaño al año, mientras que un paciente con esclerosis múltiple pierde de 1.6 hasta 3.4 por ciento en el mismo lapso, cifras variables en los diferentes estudios", refiere la doctora Miriam Jiménez González, gerente médico de Neurociencias de Novartis México.
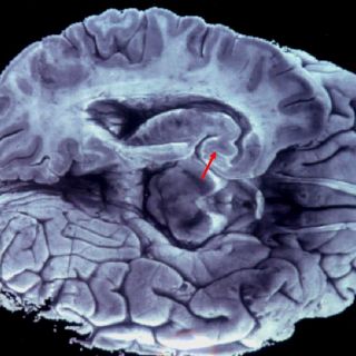
Esta pérdida de tejido cerebral se refleja en el grado de discapacidad del paciente, ya sea motora o cognitiva. Gracias a la incorporación de la resonancia magnética a los estudios de imagen que se hacen a los pacientes con enfermedades neurológicas como la esclerosis múltiple, el Alzheimer o el Mal de Parkinson, se ha podido identificar las lesiones clásicas de estos padecimientos.
Miden pérdida cerebral
Cada vez está cobrando mayor importancia la técnica de volumetría cerebral, con la que se puede detectar a tiempo el nivel de pérdida de tejido y suministrar, de manera oportuna, la mejor terapia para el paciente, dice Jiménez.
Para conocer el tamaño de la masa cerebral es importante mencionar el papel de la resonancia magnética que desde hace cinco años ha tomado mayor relevancia y que se suma a la imagenología de radiación ionizante (rayos x y tomografía axial computada) para valorar este deterioro, refiere el doctor Erick Pasaye Alcaraz, doctor en ciencias biomédicas.
La volumetría se basa en las imágenes de resonancia magnética que permiten hacer un contraste entre la sustancia gris y la blanca, mediante ciertos algoritmos que determinan el volumen de cada una de ellas, además es posible calcular la atrofia cerebral.
Esclerosis múltiple
En pacientes con esclerosis múltiple, la medición del tamaño del cerebral ha significado una herramienta importante para valorar al paciente y para la elaboración de un fármaco oral que modifica el curso de la enfermedad, reduce el número de recaídas y detiene la merma de volumen cerebral (quienes registran un detrimento de hasta tres veces más rápida que una persona sana). Se trata de un medicamento que se toma una vez al día y que ha ayudado a más de 400 mexicanos.
La EM es un mal del sistema nervioso central que afecta a más de 20 mil personas en México, en su mayoría mujeres de entre 20 y 40 años que presentan alteraciones motrices, sensoriales, visuales y del habla.
"Una de las enfermedades que cursan con mayor cantidad de atrofia es el Alzheimer, el cual puede presentar una pérdida del 6 al 20 por ciento de su tamaño al año, mientras que un paciente con esclerosis múltiple pierde de 1.6 hasta 3.4 por ciento en el mismo lapso, cifras variables en los diferentes estudios", refiere la doctora Miriam Jiménez González, gerente médico de Neurociencias de Novartis México.
Esta pérdida de tejido cerebral se refleja en el grado de discapacidad del paciente, ya sea motora o cognitiva. Gracias a la incorporación de la resonancia magnética a los estudios de imagen que se hacen a los pacientes con enfermedades neurológicas como la esclerosis múltiple, el Alzheimer o el Mal de Parkinson, se ha podido identificar las lesiones clásicas de estos padecimientos.
Miden pérdida cerebral
Cada vez está cobrando mayor importancia la técnica de volumetría cerebral, con la que se puede detectar a tiempo el nivel de pérdida de tejido y suministrar, de manera oportuna, la mejor terapia para el paciente, dice Jiménez.
Para conocer el tamaño de la masa cerebral es importante mencionar el papel de la resonancia magnética que desde hace cinco años ha tomado mayor relevancia y que se suma a la imagenología de radiación ionizante (rayos x y tomografía axial computada) para valorar este deterioro, refiere el doctor Erick Pasaye Alcaraz, doctor en ciencias biomédicas.
La volumetría se basa en las imágenes de resonancia magnética que permiten hacer un contraste entre la sustancia gris y la blanca, mediante ciertos algoritmos que determinan el volumen de cada una de ellas, además es posible calcular la atrofia cerebral.
Esclerosis múltiple
En pacientes con esclerosis múltiple, la medición del tamaño del cerebral ha significado una herramienta importante para valorar al paciente y para la elaboración de un fármaco oral que modifica el curso de la enfermedad, reduce el número de recaídas y detiene la merma de volumen cerebral (quienes registran un detrimento de hasta tres veces más rápida que una persona sana). Se trata de un medicamento que se toma una vez al día y que ha ayudado a más de 400 mexicanos.
La EM es un mal del sistema nervioso central que afecta a más de 20 mil personas en México, en su mayoría mujeres de entre 20 y 40 años que presentan alteraciones motrices, sensoriales, visuales y del habla.