Internacional Zelenski asegura estar listo listo para reunirse con Putin tras su último encuentro con Trump
3 México Semar activa operativo de emergencia por el descarrilamiento del Tren Interoceánico en Oaxaca
Internacional La ONU pide investigar como crimen de guerra el ataque ruso en Dnipró 16 de enero de 2023 - 13:46 hs Ucrania Rusia
Internacional Tropas ucranianas llegan a EU para entrenamiento con sistema antimisiles Patriot 16 de enero de 2023 - 12:47 hs Ucrania Rusia
Internacional Putin denuncia aumento de entrega de armas occidentales a Ucrania 16 de enero de 2023 - 09:33 hs Vladimir Putin Ucrania
Internacional Ascienden a 40 los muertos por el ataque ruso a un edificio civil en Dnipró 16 de enero de 2023 - 05:56 hs Guerras Política internacional
Internacional Ataque a un edificio en Dnipro, Ucrania, deja al menos 12 muertos 14 de enero de 2023 - 17:40 hs Ucrania Rusia
Internacional Rusia continúa bombardeos masivos contra Ucrania bajo nuevo mando militar 14 de enero de 2023 - 15:22 hs Rusia Ucrania
Internacional Rusia asegura que conquistó Soledar; Ucrania lo niega 13 de enero de 2023 - 17:52 hs Soledar Ucrania
Internacional Rusia reivindica conquista de Soledar, pero Ucrania lo niega 13 de enero de 2023 - 06:00 hs Rusia Ucrania
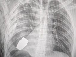
Internacional ¡Increíble! Extraen granada del pecho a un soldado ucraniano sin que explotara 12 de enero de 2023 - 16:57 hs BBC BBC News Mundo