Miércoles, 15 de Octubre 2025

Realizan doble trasplante de pulmón a enferma de coronavirus en EU

Operación era la única posibilidad de supervivencia de una veinteañera, según médicos de Chicago

Por: El Informador

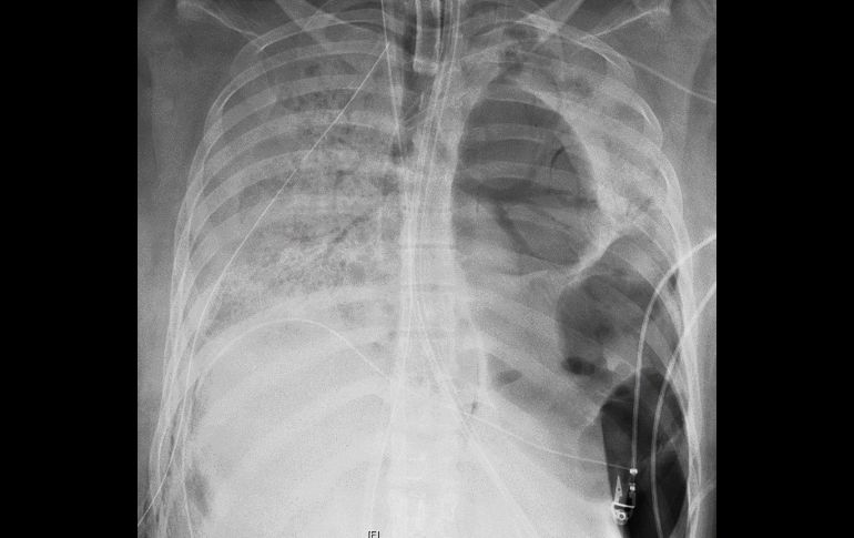
La enfermedad provocó grandes agujeros en su pulmón izquierdo, abriendo la vía a una infección bacteriana. Toma de rayos X de los pulmones de la paciente, antes del trasplante. AP/Northwestern Medicine

La enfermedad provocó grandes agujeros en su pulmón izquierdo, abriendo la vía a una infección bacteriana. Toma de rayos X de los pulmones de la paciente, antes del trasplante. AP/Northwestern Medicine

Una veinteañera cuyos pulmones quedaron "irreversiblemente" devastados por el coronavirus recibió un doble trasplante de ese órgano en Chicago, Estados Unidos, informó el jueves el hospital a cargo de esa intervención. 

"Un trasplante de pulmón era su única posibilidad de supervivencia", señaló Ankit Bharat, jefe de cirugía torácica en el Hospital Northwestern de Chicago, en un comunicado. 

Es el primer trasplante de este tipo en Estados Unidos, pero no en el mundo, ya que médicos chinos realizaron esa operación en marzo. 

La paciente es una mujer hispana que no tenía ninguna enfermedad previa, según el hospital. Pero el coronavirus la hizo enfermar de gravedad, obligando a ingresarla durante seis semanas en una unidad de cuidados intensivos.

Esta paciente debió ser intubada con un respirador artificial y conectada a una máquina llamada ECMO (oxigenación por membrana extracorpórea, en español), que reemplaza el corazón y los pulmones para oxigenar y hacer circular la sangre en el cuerpo. 

La enfermedad provocó grandes agujeros en su pulmón izquierdo, abriendo la vía a una infección bacteriana. 

El 5 de junio, la paciente fue sometida durante 10 horas a una intervención "muy difícil", según Bharat, porque los pulmones se habían adherido a las estructuras circundantes dentro del cuerpo y resultó complicado extirparlos. 

En general, en las decenas de trasplantes que realiza cada año el cirujano, la operación toma unas seis horas. 

IM

Temas

Lee También

Recibe las últimas noticias en tu e-mail

Todo lo que necesitas saber para comenzar tu día

Registrarse implica aceptar los Términos y Condiciones