Tecnología Sigue estos consejos antes de conectarte a una red WiFi pública 29 de febrero de 2024 - 15:30 hs WiFi
Estilo Conoce las carreras universitarias que ya no se recomienda estudiar 26 de febrero de 2024 - 18:04 hs Universidades Estudiantes
Tecnología ¿Qué son las apps bóveda y por qué debes evitarlas? 25 de febrero de 2024 - 12:38 hs Aplicaciones apps
Entretenimiento ¿Cine en casa? Así puedes proyectar la pantalla del celular en la pared 25 de febrero de 2024 - 10:07 hs Cine Películas
Tecnología ¿Perdiste el celular? Descubre cómo encontrarlo con Alexa 22 de febrero de 2024 - 18:39 hs iPhone Android
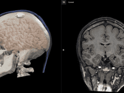
Tecnología Elon Musk asegura que paciente de Neuralink logra mover un ratón de ordenador con la mente 20 de febrero de 2024 - 18:00 hs Elon Musk neuralink
Tecnología Neuralink: Primer paciente logra controlar un mouse con la mente 20 de febrero de 2024 - 09:58 hs Neuralink Elon Musk