Entretenimiento Confirma Julio Alemán que tiene cáncer 14 de diciembre de 2011 - 09:48 hs Farándula Julio Alemán
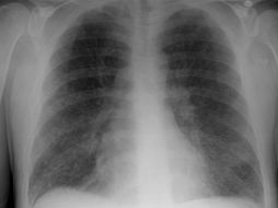
Tecnología Radiografías de tórax para detectar cáncer no salvan vidas 26 de octubre de 2011 - 12:22 hs Estudios científicos Ciencia médica
Tecnología Analizan medicamento contra el cáncer pulmonar 2 de marzo de 2011 - 16:41 hs Ciencia médica Farmacéuticas
México Exigen pleno respeto a lugares libres de humo 5 de febrero de 2011 - 19:46 hs Ley Antitabaco México
Tecnología Factores ajenos al tabaquismo relacionados al cáncer de pulmón 7 de enero de 2011 - 17:15 hs Ciencia médica Enfermedades
Tecnología Ser fumador pasivo puede alterar los genes 20 de agosto de 2010 - 19:57 hs Ciencia médica Estudios
Jalisco Tabaquismo, principal causa de cáncer de pulmón: IMSS 17 de marzo de 2010 - 13:34 hs Salud IMSS