Jalisco Hospital Civil logra primer trasplante renal secuencial del país 7 de febrero de 2015 - 12:32 hs Trasplante de órganos Salud
Jalisco Hospitales fuera de ZMG tendrán licencia de donación de órganos 2 de febrero de 2015 - 03:34 hs Salud
Jalisco Hospital San Javier destaca éxito en trasplante de corazón 22 de enero de 2015 - 03:30 hs Trasplante de órganos Salud
Jalisco Hospitales de Jalisco realizan 700 trasplantes al año 26 de septiembre de 2014 - 09:22 hs Trasplante de órganos Salud
Suplementos Jalisco, número uno en trasplante renal de donador vivo 22 de septiembre de 2014 - 09:15 hs Trasplante de órganos Salud
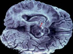
Tecnología Llaman a fomentar donación de cerebros para investigar Alzheimer 19 de septiembre de 2014 - 16:11 hs Enfermedades IPN